Welcome to Dentist Wandworth

About Dentist Wandsworth

Dr Kate Borhan opened her modern,

state of the art Orthodontic surgery in Wandsworth in 2007 - 1A Orthodontics was born! Our clients’ satisfaction is our main concern, we have therefore designed our surgery with our patients in mind. The practice offers a full range of orthodontic treatments including the latest Invisalign clear aligners, Damon Speed system technique and perfectly hidden lingual braces.

For our private adult patients we offer later opening to accommodate after work appointments. For our younger patients, we offer after school appointments too!

Our Smile Gallery

We are very proud of our dental treatments and would like to share some of work with you. Please click below to see some of the transformations we have given to our very happy patients. It may even inspire you to take that first step towards your perfect smile

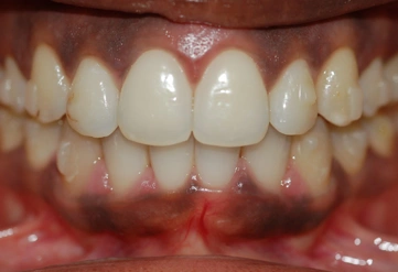
Invisalign treated case study 01 – Dentist Wandsworth

Case Study 1

Treated Invisalign Clear brace aligners

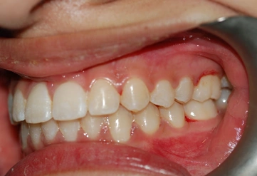
Invisalign treated case study 02 – Dentist Wandsworth

Case Study 2

Treated Invisalign Clear brace aligners

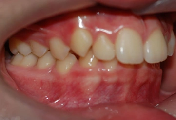
Invisalign treated case study 03 – Dentist Wandsworth

Case Study 3

Treated Invisalign Clear brace aligners

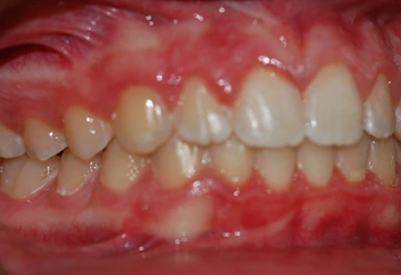
Invisalign treated case study 04 – Dentist Wandsworth

Case Study 4

Treated Invisalign Clear brace aligners

Our Latest Blog

How We Work

Our promise – Dentist Wandsworth

We Promise To:

  • Welcome you into a caring and professional environment.
  • Listen with respect and respond to your concerns.
  • Clearly state the cost of proposed dental treatment in advance and provide a detailed written report.
  • Do our absolute level best to keep to time.
  • Perform our very best standard of dental work for you at all times.
  • Make no charges for appointments changed or cancelled where 24 hours notice has been given.
  • Clearly state the cost of proposed dental treatment in advance and provide a detailed written report.
Commitment to you – Dentist Wandsworth

We appreciate your commitment to:

  • As Orthodontic appointments are usually 5 -10 minutes long it is essential that you arrive in time for your appointments. This will enable us to not keep you waiting.
  • Follow our instructions to care for the work we provide.
  • Attend review and maintenance appointments as advised.
  • Pay for treatment as requested. We accept cash, personal and business cheques and most credit and debit cards. We also offer interest free credit and low cost finance.
  • Talk to us, let us know what you think of what we do: right and wrong.
  • Help our practice grow by recommending us to your family, friends and colleagues.

Patient Reviews